Listeria Monocytogenes Gram Stain - Microbiology Atlas of Aerobic Gram-Positive Bacilli ... - Listeria monocytogenes in select foods.

Listeria Monocytogenes Gram Stain - Microbiology Atlas of Aerobic Gram-Positive Bacilli ... - Listeria monocytogenes in select foods.. However, with older cultures the gram stain reaction can be variable and also cells may appear spheroidal. It is a facultative anaerobic bacterium, capable of surviving in the presence or absence of oxygen. Of the seven species within the genus listeria, only l. However, with older cultures the gram stain reaction can be variable and also cells may appear. Listeria monocytogenes is one of the most common foodborne pathogens.

(applicable to deli ham (25 and 125 g) all listeria spp. Of the seven species within the genus listeria, only l. Listeria monocytogenes in dairy products, seafoods, and meats. The video below shows these rocket tails in action. Listeria monocytogenes in select foods.

Image: Listeria monocytogenes , smear of brain stem ...
Image: Listeria monocytogenes , smear of brain stem ... from www.merckvetmanual.com
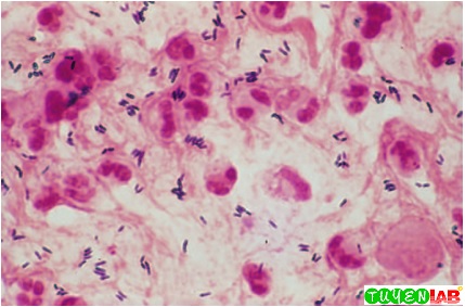
Monocytogenes found in this aneurysm, see gram stain (above). Try our newest study sets that focus on listeria monocytogenes gram stain to increase your studying efficiency and retention. Vidas listeria monocytogenes (lmx) assay kit (37). However, with older cultures the gram stain reaction can be variable and also cells may appear. Listeria monocytogenes or just l. (applicable to deli ham (25 and 125 g) all listeria spp. Listeria monocytogenes is one of the most common foodborne pathogens. Poultry meat and products are of the main vehicles of pathogenic strains of l listeria spp.

Listeria monocytogenes in dairy products, seafoods, and meats.

Monocytogenes found in this aneurysm, see gram stain (above). Listeria monocytogenes can be found in a variety of dairy products, vegetables, fish, and meat products. It grows best at temperatures of 30 to 37°c, but it grows well at colder (refrigerator) temperatures in clinical specimens, l. However, with older cultures the gram stain reaction can be variable and also cells may appear. Listeria monocytogenes in dairy products, seafoods, and meats. Monocytogenes in ovine brain tissue. Among the six species of listeria, only listeria monocytogenes is the major human pathogen that causes disease in. Listeria monocytogenes or just l. A microbial biorealm page on the genus listeria monocytogenes. (applicable to deli ham (25 and 125 g) all listeria spp. The aim of this study was to characterize the subtype and virulence potential of these l. It is a facultative anaerobic bacterium, capable of surviving in the presence or absence of oxygen. However, with older cultures the gram stain reaction can be variable and also cells may appear spheroidal.

Poultry meat and products are of the main vehicles of pathogenic strains of l listeria spp. Listeria monocytogenes or just l. It grows best at temperatures of 30 to 37°c, but it grows well at colder (refrigerator) temperatures in clinical specimens, l. The video below shows these rocket tails in action. This pathogen is the only gram positive bacterium that produces endotoxin.

Variation in Biofilm Formation among Strains of Listeria ...
Variation in Biofilm Formation among Strains of Listeria ... from aem.asm.org
The video below shows these rocket tails in action. Listeria monocytogenes is a bacterium that causes listeriosis, a disease that can have severe consequences for particular groups of the population. It can cause miscarriages in pregnant women and be fatal in immunocompromised individuals and the elderly. It grows best at temperatures of 30 to 37°c, but it grows well at colder (refrigerator) temperatures in clinical specimens, l. Listeria was discovered by a scottish ok now, l. Listeria monocytogenes is the species of pathogenic bacteria that causes the infection listeriosis. A microbial biorealm page on the genus listeria monocytogenes. (applicable to deli ham (25 and 125 g) all listeria spp.

Listeria monocytogenes is the species of pathogenic bacteria that causes the infection listeriosis.

A microbial biorealm page on the genus listeria monocytogenes. Natural habitats they are widely distributed in the environment they have been isolated from soil, decaying vegetables, sewage. The gram stain result becomes variable as the culture ages. Try our newest study sets that focus on listeria monocytogenes gram stain to increase your studying efficiency and retention. Listeria monocytogenes or just l. (applicable to deli ham (25 and 125 g) all listeria spp. Monocytogenes found in this aneurysm, see gram stain (above). Listeria monocytogenes is an important bacterial pathogen in immunosuppressed patients, individuals at the extremes of age including neonates and older adults, pregnant women, and, occasionally, previously healthy individuals. Vidas listeria monocytogenes (lmx) assay kit (37). Listeriosis, with a mortality rate of about 24%, is found mainly among pregnant. Listeria monocytogenes is one of the most common foodborne pathogens. Beta hemolytic when grown on agar plates. In a recent study in ibadan, listeria spp.

Try our newest study sets that focus on listeria monocytogenes gram stain to increase your studying efficiency and retention. The video below shows these rocket tails in action. Poultry meat and products are of the main vehicles of pathogenic strains of l listeria spp. Listeria monocytogenes or just l. Listeria monocytogenes in select foods.

Listeria monocytogenes Gram Stain as seen in a light ...
Listeria monocytogenes Gram Stain as seen in a light ... from www.researchgate.net
Gram stain of listeria monocytogenes (source). Among the six species of listeria, only listeria monocytogenes is the major human pathogen that causes disease in. Listeria monocytogenes can be found in a variety of dairy products, vegetables, fish, and meat products. Listeriosis, with a mortality rate of about 24%, is found mainly among pregnant. However, with older cultures the gram stain reaction can be variable and also cells may appear spheroidal. Invasion of the central nervous system (meningitis or. Listeria monocytogenes is a bacterium that causes listeriosis, a disease that can have severe consequences for particular groups of the population. However, with older cultures the gram stain reaction can be variable and also cells may appear.

Gram stain of listeria monocytogenes (source).

Listeria monocytogenes is the species of pathogenic bacteria that causes the infection listeriosis. Poultry meat and products are of the main vehicles of pathogenic strains of l listeria spp. It is a facultative anaerobic bacterium, capable of surviving in the presence or absence of oxygen. Listeria monocytogenes is an important bacterial pathogen in immunosuppressed patients, individuals at the extremes of age including neonates and older adults, pregnant women, and, occasionally, previously healthy individuals. Listeriosis, with a mortality rate of about 24%, is found mainly among pregnant. Listeria monocytogenes can be found in a variety of dairy products, vegetables, fish, and meat products. The video below shows these rocket tails in action. Try our newest study sets that focus on listeria monocytogenes gram stain to increase your studying efficiency and retention. It grows best at temperatures of 30 to 37°c, but it grows well at colder (refrigerator) temperatures in clinical specimens, l. A microbial biorealm page on the genus listeria monocytogenes. Bureau of microbial hazards, food directorate, health protection branch, health and has demonstrated that gram staining of the gastric aspirate may be a reliable test for early diagnosis of listerial infection (49). Listeria monocytogenes in select foods. Listeria monocytogenes in dairy products, seafoods, and meats.

However, with older cultures the gram stain reaction can be variable and also cells may appear spheroidal listeria. Listeriosis, with a mortality rate of about 24%, is found mainly among pregnant.